Si bien Alejandro Cruz (32) es mecánico, las artes ecuestres son su adoración, por lo que suele participar en eventos vinculados a la destreza equina. En diciembre se cayó de su caballo mientras competía y con el estribo se quebró la tibia y el peroné. Ante eso, están organizando una rifa a fin de ayudarlo a pagar una operación que necesita. Patricia Benítez, la mamá de Alejandro y el propio hombre hablaron sobre este tema con FM Vos (94.5) y con Diario San Rafael.
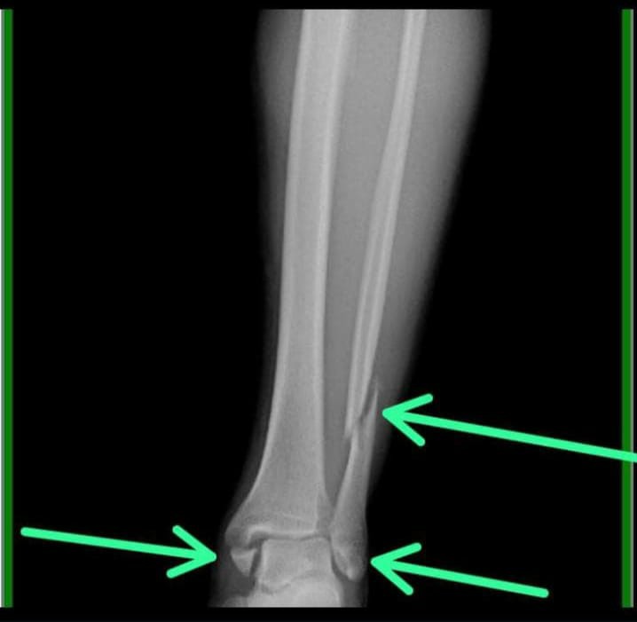
El 20 de diciembre, en el marco de una competencia que se desarrollaba en El Mangrullo, en Salto de las Rosas, Alejandro cayó de su equino y se produjo este daño en una de sus piernas. “Como dice mi hijo, ‘son riesgos que se corren’, y ha tenido otros golpes, otras cosas, pero esta vez se dio la mala suerte de que el caballo cayó sobre su pierna y el estribo le quebró la tibia y el peroné”, lamentó Patricia. Por su parte, el jinete recordó que si bien en el momento no sintió un gran dolor, al pararse se sintió raro. “Lo traté de mover, moví el tobillo pero lo sentía raro. Entonces a un compañero de la agrupación le pedí que me sacara la bota de montar, y al tocarme a la altura del tobillo sentí que algo se movía. Me di cuenta entonces de que había un problema grave”, exhibió.
El hombre está enyesado a la espera de ser operado, pues le tendrán que colocar una prótesis. “Si bien él tiene mutual esto lleva su tiempo, no le cubre toda la cirugía, le pagan una parte y otra hay que pagarla en efectivo, está sin trabajar y ese es el problema más grande: en este estado no puede trabajar”, señaló también.

Alejandro está casado y tiene un hijo de 4 años, lo que aumenta la necesidad de ser operado ya que así como se encuentra, le es imposible generar recursos.
Desde la comisión de El Mangrullo surgió la idea de llevar a cabo una rifa que tiene 20 premios. El número tiene un valor de 3 mil pesos. Los interesados en adquirir alguno pueden comunicarse al 2604314699 o 2604011745.







